Traitement sans douleur de l'alignement des dents Marseille 13008

Traitement sans douleur de l'alignement des dents Marseille 13008
Comment garder les dents droites à la fin de son traitement d’orthodontie ? Le docteur Madar à Marseille 13012 répond à vos questions

Comment garder les dents droites à la fin de son traitement d’orthodontie ? Le docteur Madar à Marseille 13012 répond à vos questions

Comment faire pour garder les droites après un traitement d'orthodontie? Le docteur Madar et son équipe réalise différents traitements d’orthodontie afin de déplacer les dents et de réaliser des jolis sourires. Un traitement par bagues ou gouttières permettra de bouger vos dents sur les mâchoire...
En savoir
Utilisation des élastiques orthodontiques : comment les mettre et à quoi ils servent à Marseille Saint-Barnabé 13012

Utilisation des élastiques orthodontiques : comment les mettre et à quoi ils servent à Marseille Saint-Barnabé 13012

Les élastiques pour appareil dentaire jouent un rôle essentiel dans le succès d’un traitement orthodontique. Au cabinet d’orthodontie du Dr Frédérique Madar à Marseille Saint-Barnabé, nous accompagnons chaque patient dans leur utilisation quotidienne pour garantir un sourire harmonieux et une occl...
En savoir
Pose de gouttières Invisalign pour avoir un beau sourire chez votre orthodontiste à Marseille

Pose de gouttières Invisalign pour avoir un beau sourire chez votre orthodontiste à Marseille

Comment avoir un beau sourire avec des gouttières Invisalign? votre praticien INVISALIGN, le docteur MADAR, à MARSEILLE, répond à vos questions. De nos jours, il est possible d'avoir un beau sourire à l'âge adulte. Pouvoir sourire sans complexe permet de faciliter l'intégration sociale et peut ...
En savoir

Nos prestations sur le secteur de Marseille 13008

Comment se passe le collage des bagues orthodontiques à Marseille Saint-Barnabé 13012

Comment se passe le collage des bagues orthodontiques à Marseille Saint-Barnabé 13012

Le collage des brackets (ou bagues orthodontiques) est une étape essentielle du traitement d’orthodontie, qu’il s’agisse d’un enfant, d’un adolescent ou d’un adulte. Au cabinet d’orthodontie du Dr Frédérique Madar à Marseille Saint-Barnabé 13012, cette procédure est réalisée avec minutie grâce aux...
En savoir
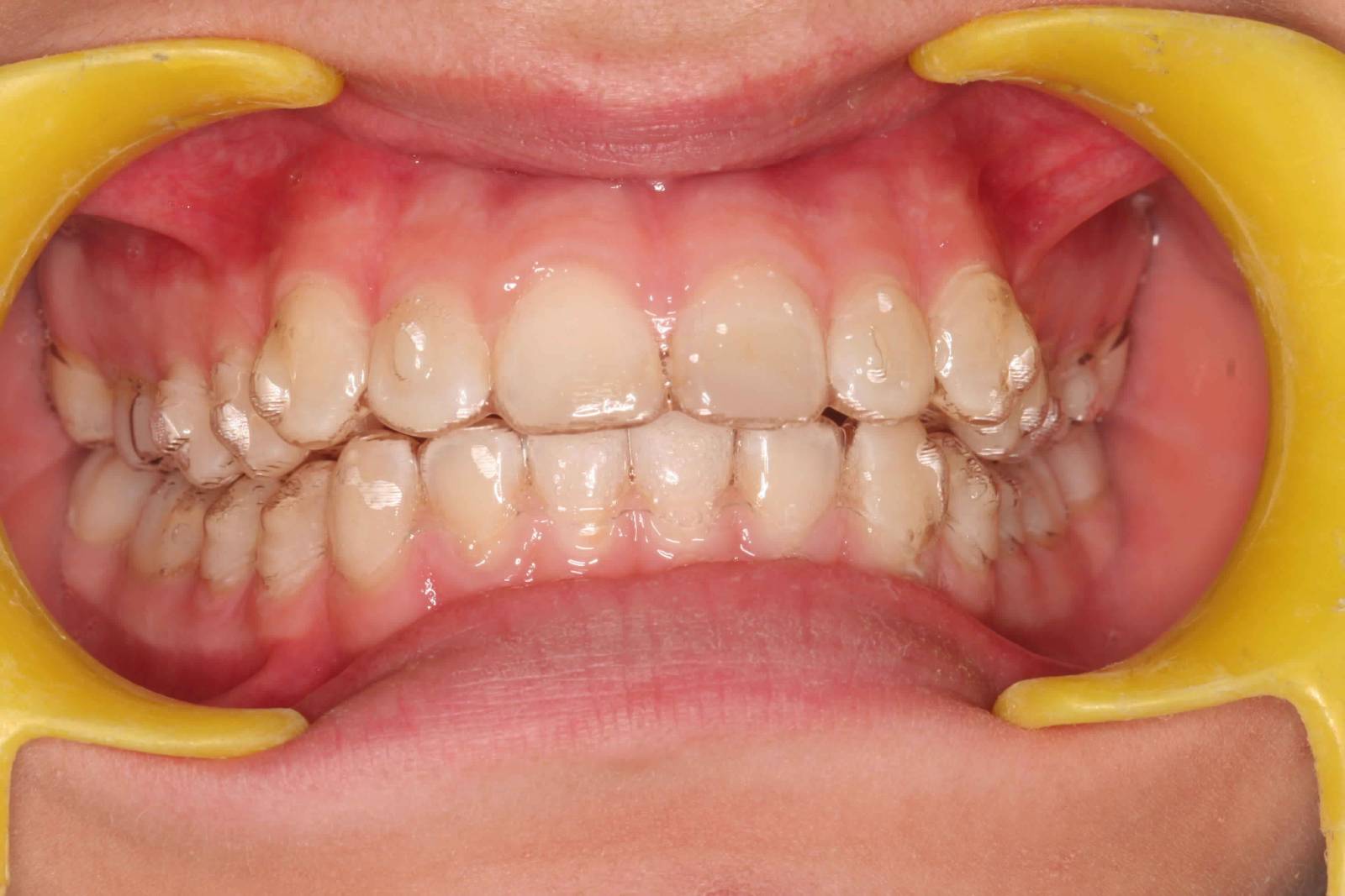
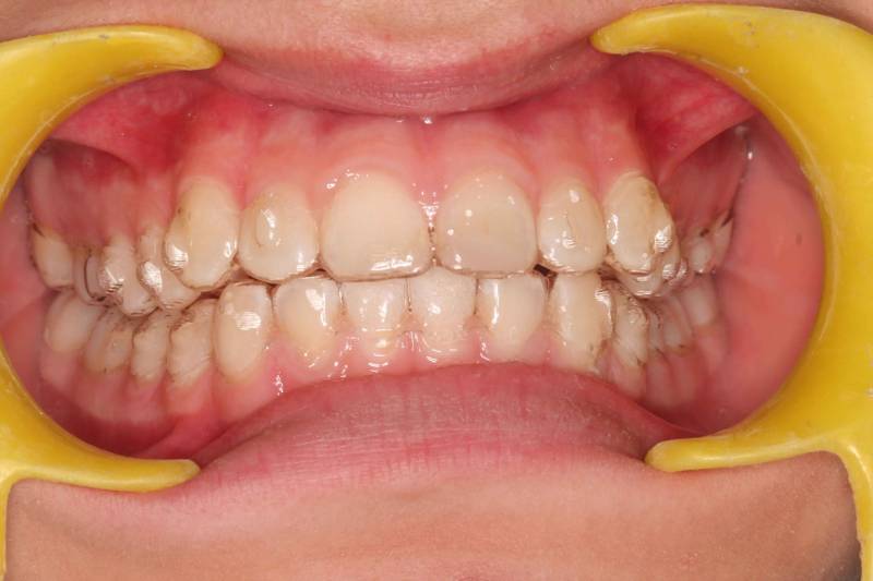
Mes dents peuvent elles bouger après un traitement d'orthodontie? La réponse de votre orthodontiste à Marseille

Mes dents peuvent elles bouger après un traitement d'orthodontie? La réponse de votre orthodontiste à Marseille

Est il possible que les dents rebougent après un traitement d'orthodontie ? Il s'agit d'une question fréquente que l'on pose au docteur Madar à Marseille lors de la première consultation . En effet , beaucoup de patients arrivent à l'age adulte et voient leur dentition se modifier. Elle n'est plus...
En savoir

Notre zone d'activité pour ce service Traitement sans douleur de l'alignement des dents

Comment traiter un palais étroit chez l’adulte à Marseille Saint-Barnabé 13012 ?

Comment traiter un palais étroit chez l’adulte à Marseille Saint-Barnabé 13012 ?

Découvrez comment traiter un palais étroit chez l’adulte à Marseille Saint-Barnabé 13012. Solutions orthodontiques et chirurgicales pour améliorer sourire, respiration et santé bucco-dentaire.
En savoir

Orthodontiste réputée pour enfants et adultes à Marseille 13008, le Dr Frédérique Madar Dahan met au service de votre dentition son expertise orthodontique.

Pose d'un appareil dentaire, chirurgie maxillaire, traitement de l'alignement des dents par gouttière, empreinte dentaire numérique sans pâte, agrandissement du palais pour adulte : votre spécialiste de l'orthodontie intervient pour tous types de traitements d'orthodontie pour enfants et adultes afin de répondre au plus grand nombre de besoins de sa patientèle.

Ouvert tous les jours du Lundi au Vendredi (9h-12h/14h-19h), le cabinet du Dr Frédérique Madar Dahan prend en charge toutes vos demandes par téléphone au 04 84 88 54 60 ou prenez directement un rendez-vous en ligne !

En cas d'urgence, bénéficiez d'une prise en charge immédiate en contactant le cabinet par téléphone au 04 91 24 14 14 !

Nous écrire
Les champs indiqués par un astérisque (*) sont obligatoires
Nos partenaires

Brasserie ouverte jusqu'à minuit Marseille 13012 Saint Barnabé Brasserie le Terminus.

Le Cabinet d'Orthodontie du Dr Frédérique Madar Dahan se situe au coeur de St Barnabé Village, à 2 pas de la Brasserie le Terminus : Adresse :  2 Place Caire 13012 Marseille France04 91 49 41 60
En savoir plus

CHIRURGIE ORL MARSEILLE Dr forman glard.

Le docteur Forman glard est chirurgien de la face et du cou. Elle est spécialiste ORL pédiatrique; Il existe une étroite relation entre les malformations des mâchoires et la respiration. Ainsi, il sera très souvent nécessaire de réaliser un bilan ORL avant d'entamer un traitement d'orthodontie.Le ...
En savoir plus

Ecole et Collège Marseille 13012 Sainte Marie Blancharde.

Le Cabinet du Dr Frédérique Madar Dahan se situe à 15mn seulement de l'Ecole et Collège Sainte Marie Blancarde. Adresse: 159 Boulevard de la Blancarde, 13004 Marseille.04 91 18 50 20
En savoir plus
Prendre Rendez-vous