Comment enlever un double menton prix Marseille 13008

Comment enlever un double menton prix Marseille 13008
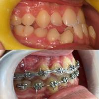
Choisir entre des bagues métal ou  céramique au cabinet d’orthodontie du Docteur Frédérique  MADAR DAHAN à Saint-Barnabé village 13 012.

Choisir entre des bagues métal ou céramique au cabinet d’orthodontie du Docteur Frédérique MADAR DAHAN à Saint-Barnabé village 13 012.

Choisir entre des bagues métal ou céramique au cabinet d’orthodontie du Docteur Frédérique MADAR DAHAN à Saint-Barnabé  village 13 012. La bouche de votre enfant nécessite de porter des bagues ? Comment choisir la technique de bagues ? Les parents sont souvent confrontés à un dilemme :faut-il c...
En savoir
Disjonction chirurgicale du palais : solution efficace pour corriger un palais trop étroit à Marseille Saint-Barnabé 13012

Disjonction chirurgicale du palais : solution efficace pour corriger un palais trop étroit à Marseille Saint-Barnabé 13012

Disjonction chirurgicale du palais à Marseille 13012 : solution efficace pour corriger un palais étroit, améliorer respiration et sourire. Prenez RDV dès aujourd’hui
En savoir
orthodontiste pour pose de gouttières transparentes Invisalign à Marseille

Tarif pour la pose de gouttières discrètes Invisalign par un orthodontiste spécialiste du réalignement dentaire proche d'Aubagne

Bienvenue au cabinet d'orthodontie du Dr Frédérique Madar Dahan à Marseille. Spécialisée en orthodontie pour enfants et adultes, le Dr Madar offre des traitements personnalisés pour corriger les malpositions dentaires et améliorer votre sourire. Nous proposons des solutions comme les gouttières Invisalign pour un traitement discret et efficace, ainsi que des préparations pré-chirurgicales pour les cas complexes.
En savoir

Nos prestations sur le secteur de Marseille 13008

Corriger le prognathisme mandibulaire chez l’adulte à Marseille Saint-Barnabé 13012

Corriger le prognathisme mandibulaire chez l’adulte à Marseille Saint-Barnabé 13012

Le prognathisme mandibulaire, souvent appelé mâchoire inférieure avancée, entraîne un désalignement entre les dents du haut et du bas. Chez l’adulte, cette anomalie peut provoquer des gênes esthétiques et fonctionnelles : difficultés à mâcher, troubles de l’élocution ou douleurs articulaires. Heur...
En savoir
Orthodontiste à Marseille , à proximité du PRINTEMPS la valentine 13011 , pour avoir un beau sourire

Orthodontiste à Marseille , à proximité du PRINTEMPS la valentine 13011 , pour avoir un beau sourire

Est il possible de porter un appareil dentaire à l'âge adulte pour avoir un beau sourire ?N'est il pas trop tard pour avoir des dents alignées ? Votre orthodontiste, le  docteur Madar Dahan propose de nombreuses techniques adaptées aux adultes, dans son cabinet situé à st Barnabe village 13012 Mar...
En savoir

Notre zone d'activité pour ce service Comment enlever un double menton prix

Quels sont les effets du tabagisme sur la santé  bucco-dentaire?

Quels sont les effets du tabagisme sur la santé bucco-dentaire?

Le tabagisme, qu'il soit par cigarette traditionnelle ou électronique, entraîne des problèmes bucco-dentaires graves tels que la coloration des dents, la mauvaise haleine, les caries et le risque de cancer oral.
En savoir

Orthodontiste réputée pour enfants et adultes à Marseille 13008, le Dr Frédérique Madar Dahan met au service de votre dentition son expertise orthodontique.

Pose d'un appareil dentaire, chirurgie maxillaire, traitement de l'alignement des dents par gouttière, empreinte dentaire numérique sans pâte, agrandissement du palais pour adulte : votre spécialiste de l'orthodontie intervient pour tous types de traitements d'orthodontie pour enfants et adultes afin de répondre au plus grand nombre de besoins de sa patientèle.

Ouvert tous les jours du Lundi au Vendredi (9h-12h/14h-19h), le cabinet du Dr Frédérique Madar Dahan prend en charge toutes vos demandes par téléphone au 04 84 88 54 60 ou prenez directement un rendez-vous en ligne !

En cas d'urgence, bénéficiez d'une prise en charge immédiate en contactant le cabinet par téléphone au 04 91 24 14 14 !

Nous écrire
Les champs indiqués par un astérisque (*) sont obligatoires
Nos partenaires

Brasserie ouverte jusqu'à minuit Marseille 13012 Saint Barnabé Brasserie le Terminus.

Le Cabinet d'Orthodontie du Dr Frédérique Madar Dahan se situe au coeur de St Barnabé Village, à 2 pas de la Brasserie le Terminus : Adresse :  2 Place Caire 13012 Marseille France04 91 49 41 60
En savoir plus

CHIRURGIE ORL MARSEILLE Dr forman glard.

Le docteur Forman glard est chirurgien de la face et du cou. Elle est spécialiste ORL pédiatrique; Il existe une étroite relation entre les malformations des mâchoires et la respiration. Ainsi, il sera très souvent nécessaire de réaliser un bilan ORL avant d'entamer un traitement d'orthodontie.Le ...
En savoir plus

Ecole et Collège Marseille 13012 Sainte Marie Blancharde.

Le Cabinet du Dr Frédérique Madar Dahan se situe à 15mn seulement de l'Ecole et Collège Sainte Marie Blancarde. Adresse: 159 Boulevard de la Blancarde, 13004 Marseille.04 91 18 50 20
En savoir plus
Prendre Rendez-vous